COLD PLAMA

img

Phục hồi vết thương bỏng

img

Phục hồi vết thương hậu phẫu

img

Trẻ hóa da, kích thích tăng sinh collagen

img

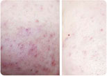
Giảm viêm, diệt khuẩn điều trị mụn

img

FRACTIONAL PLASMA

img

Điều trị rạn da

img

Điều trị nám, tàn nhang

img

Trẻ hóa da, làm săn chắc da

img

SINGLE DOT

img

Trị sẹo lồi

img

Điều trị sẹo lồi phì đại

img

PLASMA GOLD

Là thiết bị tiên phong kết hợp công nghệ Cold Plasma và Plasma phân đoạn (Fractional, Single Dot) trong cùng một nền tảng.

img

Cold Plasma thế hệ mới: Không tiêu hao vật tư, hoạt động dựa trên cơ chế ion hóa khí (dùng Ni tơ và Oxy không khí để tạo các gốc O3, H2O2, NO trong trị liệu). Ứng dụng siêu tiết kiệm cho liền thương, trẻ hóa da, giảm viêm, giảm kích ứng sau xâm lấn, kích thích mọc tóc, tăng sinh collagen & mạch máu ngoại vi.

Fractional Plasma: ứng dụng đa dạng, hiệu quả với các dịch vụ phục hồi da rỗ, rạn da, nám da, tàn nhan.

Single Dot Plasma: vi điểm tập trung, giúp cắt đốt nhanh chóng, mụn thịt, mụn cóc, cắt đáy sẹo…

img

Không xâm lấn, không đau: Phương pháp điều trị liên tục, không cần thời gian nghỉ. Kết quả được chứng minh lâm sàng: Các nghiên cứu chứng minh hiệu quả & an toàn cho vùng da xung quanh mắt. Tiết kiệm chi phí đầu tư: Thay thế nhiều thiết bị như laser phân mảnh, RF, micro-needle RF.

img
Thông số kỹ thuật 12V/3A
Năng lượng 10W (AVG); 150W (PEAK)
Công suất tiêu thụ 10~400mJ/Dot
Độ rộng tia 0,1~4ms/Dot
Chế độ tia plasma Vòng cung, Phát sáng, Kim đơn
Chế độ quét Chấm, Dòng, Mảng
Số chấm 1, 3, 5, 9, 13, 21, 25
Công suất phát plasma 1.5W, 2.5W, 3.5W, 4.5W
Độ rộng xung 75ms
Tần số sóng phát 1~10Hz
Nhiệt độ tia plasma lạnh ≤ 55°℃
Kích thước 420 × 380 x 285 mmt
Trọng lượng máy 8.8 KG

CÁC CHẾ ĐỘ QUÉT CHUẨN XÁC GIÚP KIỂM SOÁT VỊ TRÍ QUÉT

img

CÁC CHUYÊN GIA BẢO CHỨNG

PLASMA GOLD

img

PHẠM TRỊNH QUỐC KHANH

img

LÊ TÔN DŨNG

img

LÊ MINH PHONG

img

NGUYỄN VĂN LÂM

img

PHẠM HIẾU LIÊM

img

NGUYỄN THANH TRƯỜNG

img

ĐẶC QUYỀN

DÀNH CHO ĐỐI TÁC

PLASMA GOLD

img

ĐÀO TẠO MIỄN PHÍ

img

Cung cấp đào tạo miễn phí về vận hành máy và chiến lược tiếp thị cho các cơ sở làm đẹp, giúp khách hàng dễ dàng triển khai Plasma Gold

MỨC GIÁ TỐT NHẤT

img

Mức giá tốt nhất từ nhà máy sản xuất, không chi phi trung giạn cùng với chương trình CHIET KHẨU HẤP DÂN TỪ 10% & QÙA TẶNG HƠN 100 TRIỆU ĐỒNG.

HỖ TRỢ TRUYỀN THÔNG

img

Hỗ trợ truyền thông ấn phẩm, truyền thông tại điểm bán cho khách hàng mục tiêu, đưa tin báo đài, quảng cáo và sự kiện hợp tác.

BẢO HÀNH TẬN TÂM

img

Bảo hành chức năng máy trong 6 tháng - hoàn trả 100% nếu có lỗi nhà sản xuất.

CÁC ĐỐI TÁC SỬ DỤNG

PLASMA GOLD

img img img img img img
img

TRỞ THÀNH ĐỐI TÁC CỦA

PLASMA GOLD

img

CHINH PHỤC THIẾT BỊ 3 TRONG 1 ĐA NHIỆM

PLASMA LẠNH KHÔNG TIÊU HAO VẬT TƯ HÀNG ĐẦU HIỆN NAY

LIÊN HỆ TƯ VẤN

0906.872.948

ĐĂNG KÝ DEMO

PLASMA GOLD
MIỄN PHÍ

TIN TỨC & SỰ KIỆN